透明で
目立ちにくい
痛みが
少ない
取り外して
食事ができる

キレイな歯並びで
すてきな笑顔に!!

月々

6,900から
はじめられる矯正

※インピザラインエクスプレスの場合

無料

カウンセリング
受付中
矯正はしたいけど、装置が見えるのが気になる…
痛いのはイヤ…
本当に自分の歯並びが治る…?
歯並びが気になって人前で笑えない…
モデルのような歯並びに憧れる…
治療費が高い···?
でも、矯正治療を始めることを考えると、
このようなことも不安に感じる方もいらっしゃると思います。
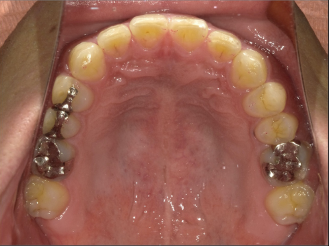
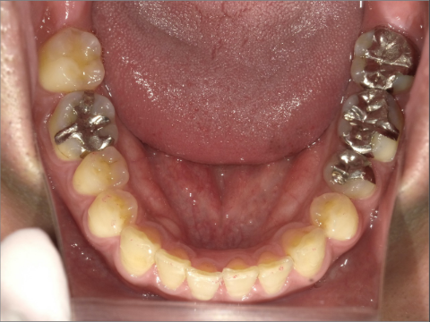
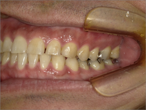
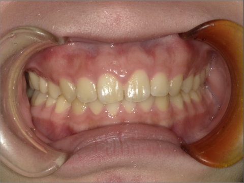
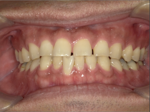
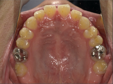
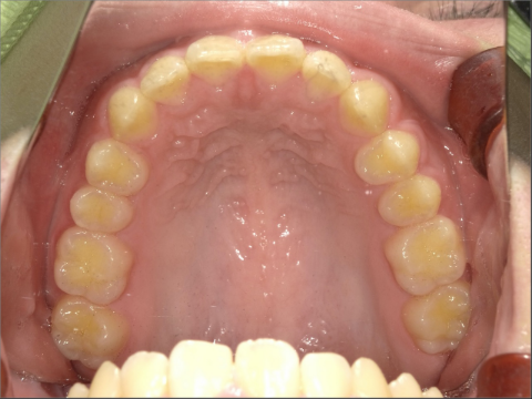
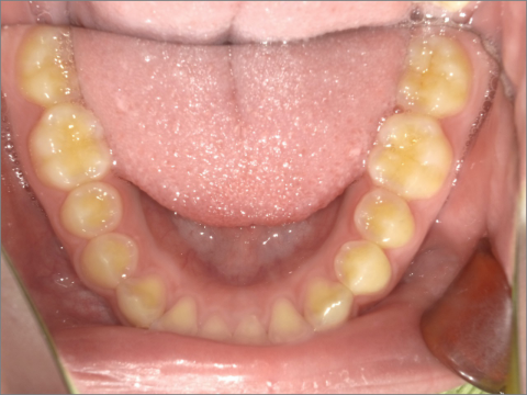
ご年齢 15歳女性 治療期間 2022/07/02〜2023/12/02(1年5ヶ月)
診断 110,000円(税込) アライナー 660,000円(税込) リテーナー 55,000円(税込)
ご年齢 15歳女性
治療期間 2022/07/02〜2023/12/02(1年5ヶ月)
診断 110,000円(税込)
アライナー 660,000円(税込)
リテーナー 55,000円(税込)
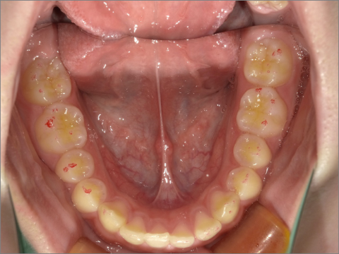
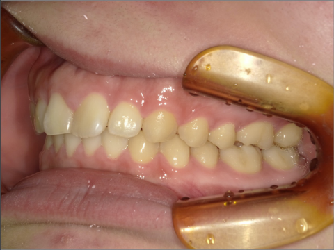
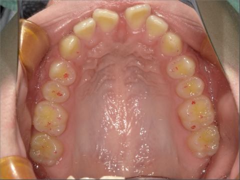
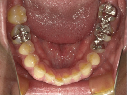
BEFORE
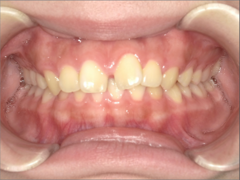
AFTER
インビザライン6つの特長
MERIT

01

矯正装置が透明

透明で目立たないマウスピースなので、手軽にバレずに歯科矯正できます。

MERIT

02

食べ物の制限がない

取り外しできるマウスピースなので、ワイヤー矯正と異なり、食べ物 が詰まる心配がありません。

MERIT

03

通院回数を減らせる

マウスピースは、来院しないでもご自身で交換できます。忙しく通院回数を少なくしたい方にもおすすめです。

MERIT

04

痛みが少ない

マウスピース矯正は金属を使っていないので、スポーツ中や転倒な どで、口腔内を傷つける心配がありません。

MERIT

05

3Dシミュレーション画像

矯正後の3Dシミュレーション画像により、歯並びがどうなるか視覚的に確認できます。

MERIT

06

お口を健康に保てる

ワイヤー矯正と異なり、いつも通りに歯みがきできます。口腔内を清潔に保てるので、むし歯や歯周病のトラブルも少ないです。

矯正治療との比較
目立ちにくさ
取り外しの可否
痛みの少なさ
金属アレルギー
ケアのしやすさ

マウスピース型矯正
(インビザライン)

目立ちにくさ(◎)
取り外しの可否(◎)
痛みの少なさ(△)
金属アレルギー(◎)
ケアのしやすさ(◎)

ブラケット矯正

目立ちにくさ(✕)
取り外しの可否(✕)
痛みの少なさ(△)
金属アレルギー(△)
ケアのしやすさ(△)
矯正料金表

※すべて税込表記です

インビザライン矯正
①エクスプレスパッケージ
28万円

(部分矯正用)

or

②ライトパッケージ
55万円

(軽度の矯正用)

or

③コンプリヘンジパッケージ
66万円

(標準)

+

①矯正相談... 無料
②資料どり. 診断料...11万円
③調整料...5500円(每月1回)
④保定装置...5万5000円
(リテーナー)

 

ブラケット矯正
①部分矯正
396000

or

②全体矯正
792000

+

①矯正相談...無料
②資料どり.診断料...2万2000円
③調整料...5500円(每月1回)
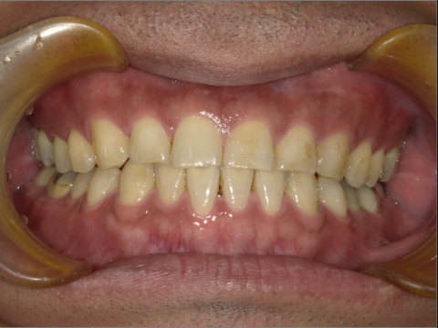
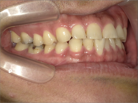
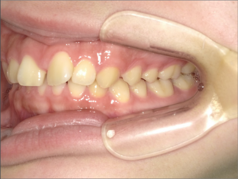
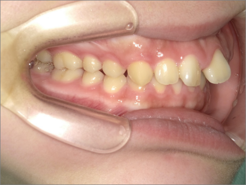
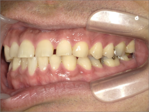
ご年齢 35歳男性 治療期間 2022/08/22〜2023/03/24(1年5ヶ月)
診断 110,000円(税込) アライナー 550,000円(税込) リテーナー 55,000円(税込)
ご年齢 35歳男性
治療期間 2022/08/22〜2023/03/24(1年5ヶ月)
診断 110,000円(税込)
アライナー 550,000円(税込)
リテーナー 55,000円(税込)
BEFORE
AFTER
マウスピース型矯正治療の流れ
STEP 1 お問い合わせ

自分の歯並びで治療できるのか、 通院回数、 気になる部分のみの矯正がしたい、 などイン ビザライン矯正に関するお悩みやご相談をお 問い合わせください。

STEP 2 無料相談

患者さまのご要望や不安をしっかりとヒアリングし、 従来の歯列矯 正との比較や詳細な治療費、 矯正治療完了時のシミュレーションを行いま す。

STEP 3 精密検査

CT、レントゲン、 データを分析したうえで治 療計画を作成していきます。 (まだ治療決定 ではありません)

STEP 4 シミュレーション

3Dデジタルシミュレーションを元に、より正確な治療期間、治療後の歯並びのイメージをご説明いたします。

STEP 5 治療開始

マウスピースが届いたら治療開始です。注意 点や使用方法をご説明し、 実際に装着の練習 などを行います。 歯科医の指示のもと1~2週 間でマウスピースを交換しながら治療を進め ていきます。

5

当院の矯正治療が選ばれる
つの理由

01

矯正の種類が豊富

部分矯正も含めて、幅広い症例に対応ができます。口腔内の状態にあわせて、患者さまの希望に応じて最適な方法を選ぶことができます。

02

カウンセリング時間を確保

カウンセリングの時間を確保したご予約なので、 安心してご相談ください。

03

全ての治療を当院で

抜歯やむし歯治療、 歯のクリーニ ングが必要になってもすべて当 院で処置ができ、 他院へ行く必 要がありません。

04

日本矯正歯科学会認定医が担当

日本矯正歯科学会認定医の歯科医師が お悩みやご希望をしっかりと お伺いし治療計画を立てます。 治療が始まってからのサポート 体制も万全です。

05

豊富な実績で安心· 納得

矯正治療の成功の鍵は、矯正設計図クリンチェックです。それを日本矯正歯科学会認定医である松岡伸也先生に依頼しています。

院長からのメッセージ

地域社会の健康と健口に貢献していきたい

藤阪てらしま歯科の寺嶋悟です。
当院は、患者様に安心して治療をお受けいただくために、
全室個室になっており、プライベート空間を大切にしております。
また、カウンセリングを重視しており、患者様のお話に耳を
方向け、お伺いした内容やご質問に対して、明確で分かりやすい
説明を心掛けています。

矯正治療は、一般的な歯科治療よりも治療期間や治療金額が
多くかかるため、治療を始める時に、様々な心配事が頭に
浮かんでくると思います。

当院では患者様にとって矯正治療の不安が少しでも軽減される
ように、サポートして参りますので、是非ご相談ください。

よくある質問
インビザライン治療の期間はどのくらいですか?

矯正治療前の歯並びの状態によって異なりますので、精密検査後にお伝えさせていただきます。

インビザラインは1日どれくらい装着しますか?

1日20時間以上装着してください。

インビザラインは痛みを伴いますか?

マウスピースを変更した数日間は痛みを伴うこともあります。

矯正治療中、食事や飲み物に制限はありますか?

インビザラインは、マウスピースを外して食事をお召し上がりいただくことが可能ですが、あまり硬くない食べ物を推奨しています。

矯正治療終了後は、何か必要な処置がありますか?

矯正治療終了後は歯並びの後戻りを防ぐ必要があるため保定装置をつけていただきます。
また、定期的に歯科医院へご来院いただき、歯並びの状態等定期検診を行います。

インビザラインを使用している間、日常生活にどのような影響がありますか?

従来のワイヤー矯正と異なり、食事や歯磨き等は、マウスピースを外して行うことが可能です。

食事の時は、インビザラインをどのように扱ったら良いですか?

専用のケースがありますので、インビザラインを取り外したら専用ケースに入れることをおすすめします。
また、食後は歯磨きをしてからインビザラインを装着することをおすすめしています。
歯磨きが難しい場合には、丁寧にうがいをして、なるべく早く歯磨きができる時間を確保するようにしてください。

インビザラインは定期的に洗った方が良いですか?

水で洗い流したり、歯磨きなどで洗うようにしてください。気になる方は、
専用の洗浄剤も販売しています。